Merritt Island Smiles with Anthony J. Sidor, D.D.S.
  Space Maintainer
Request an Appointment Merritt Island FL Dentist

 

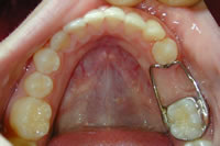
When a primary tooth is lost prematurely the teeth can drift into the new space crowding out the permanent tooth that is supposed to erupt into that space in the future. A space maintainer keeps baby teeth from shifting into the space where the tooth was lost so the permanent tooth can erupt in its natural proper space. As the permanent tooth erupts, Dr. Sidorwill remove the appliance. Space maintainers can help eliminate the need for extensive orthodontics in the future.

band loop space maintainer
erupting tooth
Home
Meet the Staff
Map and Hours
Cosmetic Dentistry
Teeth Whitening
Healthy Gums
Latest Technology
Smile Gallery
Conditions
Procedures
Payment & Insurance
New Patient Forms
Contact Us
Ask the Doctor
Home Care Guides
Covid 19
Patient Reviews


Leave a Google Review

Leave a Yelp Review